Syneron EMatrix - Sublative
SYNERON EMATRIX - SUBLATIVE
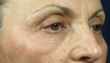
Complete Sublative Rejuvenation™
The eMatrix system with Syneron’s unique Sublative™ treatment goes beyond fractional methods of skin resurfacing. The system utilizes Sublative RF™ – fractionated bi-polar radio frequency technology – to place the heat energy effectively into the dermis where it can produce significant dermal impact with minimal epidermal disruption.

Sublative Rejuvenation Turns Fractional Concept Upside Down
Thermal Biological Effects
- Ablation (Evaporation) ~80 -100°C
- Coagulation (Necrosis) ~50 - 80°C
- Thermal (Stimulation) ~40 - 50°C

TOTAL ANNUAL REVENUE $23,200

| Procedure | Rental | Average Retail | Time | Cases | Annual Revenue |
|---|---|---|---|---|---|
| Full Face | $400 | $800 | 25 | 24 | $9,600 |
| Face 1 Area | $250 | $500 | 10 | 6 | $1,500 |
| Face 2 Areas | $300 | $600 | 15 | 2 | $600 |
| Neck | $300 | $600 | 20 | 6 | $1,800 |
| Chest | $300 | $600 | 20 | 3 | $900 |
| Hands | $250 | $500 | 15 | 2 | $500 |
| Forearms | $500 | $1,000 | 25 | 1 | $500 |
| Face/Neck | $600 | $1,200 | 40 | 10 | $6,000 |
| Face/Neck/Chest | $900 | $1,800 | 30 | 2 | $1,800 |

